إنقاذ رضيع ابتلع جسم معدني بـ " سعود الطبية "
منذ 8 سنة03774

حمود العنزي
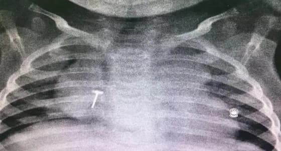
تمكنت مدينة الملك سعود الطبية، ممثلة في طوارئ مستشفى الأطفال، من إنقاذ طفل رضيع ابتلع قطعة معدنية، حيث قام فريق طبي متخصص في جراحة الصدر لدى الأطفال، باستخراج القطعة من رئة الطفل.
حيث أكدت المدينة، أن الأشعة أظهرت وجود القطعة المعدنية في الرئة اليمنى للطفل، مما سبب له مشاكل تنفسية، مشيرة لأن الطفل في حالة صحية جيدة، ويستعد للخروج من المستشفى.
وفي إطار ذلك، حذرت " سعود الطبية " ، من خطورة ترك الأجسام المعدنية بالقرب من الأطفال، وذلك لما يشكله من خطر بالغ على حياتهم.
فيما أشارت المدينة، إلى جاهزيتها لاستقبال مختلف حالات ابتلاع الأجسام الغربية، بوجود كوادر طبية مؤهلة ومدربة، طبقًا لأعلى معايير العناية الصحية.