إجراء أول جراحة منظار بالقصيم لاسئصال كتلة محسوسة بمعدة طفل
منذ 9 سنة03737

سالم المطيري
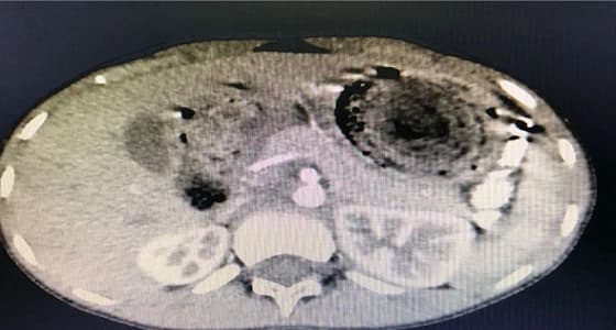
أجري فريق طبي بمستشفى الولادة والاطفال بمدينة بريدة، جراحة بالمنظار لأول مرة بالقصيم، لاستئصال كتلة محسوسة ببطن طفل، بعد استخدام المنظار لأول مرة بالقصيم في مثل هذه الحالات، وكللت العملية بالنجاح واستقرار وضع المريض الصحي. وقال حمد الشمري مدير المستشفى الصيدلي، إن الطفل الذي يبلغ من العمر 9 سنوات كان قد راجع المستشفى، ويعاني منكتلة محسوسة في البطن وبإجراء الفحوصات اللازمة من اشعة فوق صوتية و اشعة طبقية اظهرت وجود كتلة كبيرة تملأ المعدة من الشعر والخيوط واجسام بلاستيكية، مشيرا إلى أنه تم اجراء تنظير للبطن من قبل طاقم جراحي برئاسة الدكتور شان بوك ومساعده الدكتور هشام سيد وتم استئصال الكتلة.






